اگر به فکر تقویت لبخند و دندانهای از دست رفته خود هستید، لمینت دندان میتواند گزینه فوق العادهای باشد.
آنها نه تنها ظاهری طبیعی و بی عیب و نقص را ارائه میدهند، بلکه دوام و نتایج طولانی مدت را نیز به همراه دارند.
اما سوال اکثر افراد این است که درمان لمینت دندان چقدر طول میکشد؟
در این مقاله مراحل لمینت دندان – مدت زمان انجام لمینت – مراقبتهای پس از درمان و طول عمر لمینت دندان را بررسی میکنیم.
در ادامه با ما همراه باشید.

لمینت دندان چیست؟
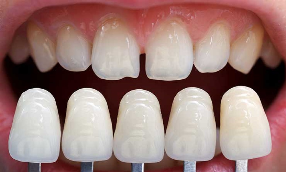
لمینت دندان، همچنین به عنوان روکش دندان یا ونیر چینی شناخته میشود، یک روش دندانپزشکی محبوب است که برای بهبود ظاهر دندانهای شما طراحی شده است.
این پوستههای نازک به صورت سفارشی ساخته شده و به سطح جلوی دندان شما چسبانده میشوند تا نگرانیهای مختلف دندانی را برطرف کنند.
لمینتهای دندان که از مواد سرامیکی درجه پزشکی ساخته شدهاند، به دقت ساخته شدهاند تا با رنگ، شکل و اندازه دندانهای طبیعی شما مطابقت داشته باشند.
این تضمین میکند که آنها به طور یکپارچه با لبخند موجود شما ترکیب میشوند و در عین حال زیبایی کلی آن را بهبود میبخشند.
مدت زمان درمان لمینت دندان چقدر است؟
اگر به فکر درمان لمینت دندان هستید، یکی از سوالاتی که در ذهن شما وجود دارد این است که لمینت دندان چقدر طول میکشد؟
خبر خوب این است که لمینت دندان معمولاً نیازی به بازدیدهای متعدد در طول هفتهها یا ماهها ندارد. در واقع، اغلب میتوان آن را با چند بار بازدید توسط دندانپزشک اجرا کرد.
مدت زمان انجام لمینت دندان شما به عوامل مختلفی از جمله تعداد دندانهای تحت درمان و هر گونه روش اضافی مورد نیاز بستگی دارد.
با این حال، به طور متوسط میتواند انتظار داشت که این کار در طی 2 تا 3 هفته تکمیل شود و شما از لمینتهای جدید خود استفاده کنید.

مراحل لمینت دندان چیست؟
هنگامی که صحبت از لمینت دندان به میان میآید، مراحل مختلفی در روند درمان وجود دارد.
هر مرحله نقش مهمی در دستیابی به لبخند کامل مورد نظر شما دارد. بیایید نگاهی دقیق تر به این مراحل بیندازیم:
- مشاوره: اولین قدم این است که با دندانپزشک یا دندانپزشک زیبایی متخصص در لمینتهای دندان مشورت کنید.
در طول این مشاوره، دندانپزشک شما سلامت دهان و دندان شما را ارزیابی میکند و انتظارات و نتیجه مورد نظر شما را مورد بحث قرار میدهد.
- آماده سازی: هنگامی که تصمیم به انجام لمینت دندان گرفتید، مرحله بعدی شامل آماده سازی دندانهای شما برای این عمل میشود.
این ممکن است شامل برداشتن بخش کوچکی از لایه بیرونی دندان باشد.
- قالب گیری: پس از آماده سازی، قالب گیری از دندانهای شما با استفاده از بتونه یا فناوری اسکن دیجیتال انجام میشود.
این برداشت به عنوان راهنمای ایجاد لمینتهای سفارشی که کاملاً روی دندانهای طبیعی شما قرار میگیرند، عمل میکند.
- لمینتهای موقت: در حالی که منتظر هستید تا لمینتهای دائمی در آزمایشگاه دندانپزشکی ایجاد شوند، ممکن است لمینتهای موقت روی دندانهای آماده شده شما قرار داده شود تا از آنها محافظت کرده و زیبایی را حفظ کند.
- باندینگ: پس از آماده شدن لمینتهای نهایی، با استفاده از مواد چسبنده قوی به دقت روی هر دندان باند میشوند.
دندانپزشک شما در این مرحله تنظیمات لازم را برای دستیابی به تناسب و ظاهر مطلوب انجام میدهد.
لمینت دندان چقدر طول میکشد؟
لمینت دندان چقدر طول میکشد؟ این یک سوال رایج در بین کسانی است که به این روش دندانپزشکی زیبایی فکر میکنند.
لمینت دندان که به عنوان روکش نیز شناخته میشود، میتواند یک راه عالی برای زیباتر کردن ظاهر لبخند و افزایش اعتماد به نفس شما باشد.
اما این لمینتها معمولا چقدر دوام میآورند؟
طول عمر لمینتهای دندان بسته به عوامل مختلفی مانند عادات بهداشت دهان و دندان، رژیم غذایی و روال نگهداری متفاوت است.
به طور متوسط، لمینتهای دندان با مراقبت مناسب میتوانند بین 10 تا 15 سال دوام بیاورند.
برای اطمینان از طول عمر لمینتهای خود، رعایت بهداشت دهان و دندان بسیار مهم است.
مسواک زدن و استفاده منظم از نخ دندان به جلوگیری از تجمع پلاک و کاهش خطر پوسیدگی دندان یا بیماری لثه در اطراف لبههای لمینت کمک میکند.
علاوه بر این، اجتناب از عاداتی که ممکن است به دندانها و لمینتهای شما فشار زیادی وارد کند، میتواند به افزایش طول عمر آنها کمک کند.
این موارد شامل گاز گرفتن اجسام سخت مانند یخ یا استفاده از دندان به عنوان ابزار میشود.
برای مشاهده قیمت لمینت به صفحه https://iricclinic.com/dental-laminate/ مراجعه کنید.

مراقبتهای بعد از لمینت دندان
در پاسخ به سوال لمینت دندان چقدر طول میکشد؟ باید بگوییم که این کار شامل مراحل نصب و نگهداری لمینت دندان است و حدودا 10 روز تا 3 هفته زمان میبرد.
مراقبت از دندانهای خود پس از لمینت دندان برای اطمینان از طول عمر و کیفیت لبخند جدید شما بسیار مهم است.
در اینجا چند نکته ضروری برای مراقبت پس از لمینت وجود دارد:
- بهداشت دهان و دندان را رعایت کنید: دندانهای خود را حداقل دو بار در روز با استفاده از یک مسواک نرم و خمیر دندان حاوی فلوراید مسواک بزنید.
فراموش نکنید که روزانه از نخ دندان استفاده کنید تا ذرات غذا یا پلاک به دام افتاده را از بین ببرید.
- مراقب آنچه میخورید باشید: از غذاهای سفت، چسبناک یا ترد که به طور بالقوه میتوانند به لمینتها آسیب برسانند، خودداری کنید.
غذاهای نرم تر را انتخاب کنید و در صورت لزوم آنها را به قطعات کوچکتر برش دهید.
- محدود کردن مواد ایجاد کننده لکه: برخی نوشیدنیها مانند قهوه، چای و شراب قرمز میتوانند به مرور زمان لمینتها را لکه دار کنند.
اگر چنین نوشیدنیهایی مصرف میکنید، سعی کنید از نی استفاده کنید تا تماس با دندانهای خود را به حداقل برسانید.
- سیگار را ترک کنید: سیگار نه تنها لمینتهای دندان را به دلیل مواد شیمیایی مضری که دارد، لکه دار میکند، بلکه ضعیف میکند.
برای سلامت کلی دهان و دندان بهتر است سیگار را به طور کامل ترک کنید.
- معاینات منظم دندانپزشکی: برای تمیز کردن و معاینه حرفهای دندانهای لمینت شده، ملاقاتهای منظمی را با دندانپزشک خود برنامه ریزی کنید.
این به شناسایی هر گونه مشکل در مراحل اولیه و جلوگیری از عوارض احتمالی کمک میکند.
پیروی از این دستورالعملهای ساده به حفظ ظاهر و دوام لمینتهای دندانی شما کمک میکند و لبخندی زیبا به شما میدهد که ماندگاری بیشتری دارد!
سوالات متداول در مورد لمینت دندان
آیا لمینت دندان دردناک است؟
- تراشیدن دندانها در مراحل آمادهسازی ممکن است به اندازهای کمی دردناک باشد. اما این درد با استفاده از مواد تسکین دهنده کاهش مییابد.
آیا برای لمینت دندان باید دندان ها را تراشید؟
- بله، در مراحل آمادهسازی دندانها تراشیده میشوند تا فضای کافی برای قرار دادن لمینتها فراهم شود.
آیا مدت زمان درمان تاثیری بر روی ماندگاری لمینتها دارد؟
- مدت زمان درمان تاثیر مستقیمی بر روی ماندگاری و کیفیت لمینتها ندارد. اما رعایت دقیق مراحل و مراقبتهای پس از درمان میتواند به ماندگاری طولانیتر آنها کمک کند.
آیا پس از نصب لمینت دندانها میتوان غذا خورد؟
- بله، پس از نصب لمینت دندانها میتوانید غذا بخورید. اما بهتر است از مصرف غذاهای خیس و نرم در تا 2 ساعت پس از درمان خودداری کنید.
آیا لمینت دندانها قابلیت رنگآمیزی دارند؟
- لمینت دندانها در مرحله ساخت به رنگهای مشخصی تهیه میشوند. بعد از نصب، رنگآمیزی آنها معمولاً امکانپذیر نیست. بنابراین، انتخاب رنگ به دقت در مرحله ساخت مهم است.
آیا لمینت دندانها نیاز به مراقبتهای خاصی دارند؟
- برای حفظ ماندگاری و کیفیت لمینتها، بهتر است از مراقبتهای دهانی معمولی خود افزون برای حفظ دندانهای طبیعی استفاده کنید. همچنین، از استفاده از ابزارهای سخت برای باز کردن چیسها و غذاها پرهیز کنید.
آیا لمینت دندانها قابلیت تعویض دارند؟
- بله، در صورت لزوم میتوان لمینتهای قدیمی را با لمینتهای جدید تعویض کرد. اما این فرآیند نیاز به تراشیدن دندانها و انجام مراحل درمان دارد.
سخن آخر
لمینت دندان چقدر طول میکشد؟ درمان لمینت دندان یک راه حل موثر برای بهبود ظاهر دندانها و دستیابی به آن لبخند کامل است.
کل فرآیند معمولاً چندین هفته طول میکشد، اما این مدت ممکن است بسته به موارد فردی متفاوت باشد.
در طول مراحل لمینت دندان، دندانپزشک شما به دقت سلامت دهان و دندان شما را ارزیابی میکند و لمینتهای سفارشی را طوری طراحی میکند که به طور یکپارچه روی دندان شما قرار گیرد.
سپس این ورقهها به طور ایمن به هم چسبانده میشوند تا استحکام و دوام خود را بهبود بخشند.
پس از انجام لمینت دندان، مراقبت مناسب از لمینتهای جدید بسیار مهم است. این شامل رعایت بهداشت دهان و دندان مانند مسواک زدن منظم و نخ دندان کشیدن و همچنین اجتناب از عاداتی مانند گاز گرفتن اجسام سخت یا جویدن ناخن است که به طور بالقوه میتواند به لمینتها آسیب برساند.
در حالی که لمینت دندان میتواند تاثیر قابل توجهی را ایجاد کند به خاطر داشته باشید که آنها راه حلهای دائمی نیستند.
با گذشت زمان، سایش و پارگی طبیعی ممکن است رخ دهد و ممکن است نیاز به تعویض یا تعمیرات دورهای داشته باشید.
به طور متوسط، لمینت دندان میتواند بین 10 تا 15 سال با مراقبت مناسب دوام بیاورد. با این حال، تجربیات فردی ممکن است بر اساس عواملی مانند عادات بهداشت دهان و دندان و انتخاب سبک زندگی متفاوت باشد.
